Idiopathic scoliosis – přičemž slovo Idiopathis znamená „arises spontaneously of the cause unknown“ – tedy přeloženo do češtiny – „vzniká spontánně z neznámé příčiny„. Zde je ale potřeba dodat, že příčina je neznámá pro naši „moderní lékařskou komunitu“, která stavům mysli, psychickým procesům a jejich vlivům na lidské tělo a především zdraví, nepřikládá žádný význam.
Skolióza je boční zakřivení (vybočení) páteře, na jednu nebo druhou stranu. Zatímco přirozené oblouky páteře (lordotický a kyphotický) pomáhají páteři zvládat „šokové“ stavy – jako otřesy, rány, zvýšenou emoční zátěž nebo nejrůznější krátkodobé vychýlení páteře z různých důvodů, u skoliotického vybočení je to jiné.
Žádné postranní zakřivení páteře není přirozené a jakékoliv boční prohnutí větší než 10 stupňů je diagnostikováno jako skolióza.
Většina případů skoliózy (až 85%) je klasifikováno jako „idiopatická skolióza“, to znamená, že příčina je (lékařům) neznámá a jen velmi malé % skoliózy je přítomno už v době narození, pravděpodobně v důsledku mozkové obrny nebo svalové dystrofie.
Z výzkumů za posledních několik desetiletí vyplývá, že přibližně 2 – 4% teenagerů má skoliózu (přičemž toto procento se zvyšuje). Podle rozsáhlé studie John Hopkins University, v celkové populaci dochází k velkému nárůstu skoliózy – minimálně 8% dospělých ve věku nad 40 let trpí skoliózou a podle další studie z roku 2005, které se zúčastnilo 75 zdravých dospělých ve věku nad 60 let, bez předchozí diagnózy skoliózy nebo jakékoliv problematiky páteře, byla zjištěna skolióza u 68% z nich (To je 51 lidí ze 75 ).
Toto zjištění je velmi alarmující, ale zároveň ukazuje na to, jak výraznou roli ve zdraví páteře hrají naučené motorické vzorce, reakce na psychický i fyzický stres a jednostranná zátěž, působící beze změny po mnoho let.
Podle další velmi rozsáhlé studie až 85 – 90% případů skoliózy u dospívajících jedinců je pravostranné vybočení páteře, přičemž až 90% populace jsou praváci. To naznačuje, že většinu činností pravák vykonává stále na jednu – pravou – stranu, a pokud takový „jednostranný návyk“ trvá několik let beze změny, je velmi pravděpodobné, že výslednou kondicí páteře bude skolióza.
Skolióza může být také výsledkem strukturální deformity, ale největší procento skolióz je způsobeno napětím svalů na jedné nebo obou stranách páteře, které páteř táhnou do nepřirozeného vybočení.
V tomto případě mluvíme o chronické kontrakci svalů na jedné straně páteře, které táhnou páteř do oblouku ve tvaru písmene C. Pokud je chronická kontrakce na obou stranách páteře, napjaté svaly táhnou páteř do písmene S.
Pokud je boční prohnutí 20 – 25 stupňů, lékaři předepisují podpěru, nebo korzet. Pokud prohnutí postupuje na víc než 45 stupňů, je pacientovi doporučena operace.

Přibližně 66% dospělých se skoliózou od 20 – 55 stupňů trpí velkou bolestí, která postupně přechází i do dalších částí těla, protože vychýlení páteře na jednu stranu způsobí vychýlení postury (držení těla) na jednu stranu, což následně znamená mimořádnou zátěž na kyčelní klouby kolena, ale taky ramena a krk.
Zvýšeným tlakem dál trpí meziobratlové disky (ploténky) a nervy kolem páteře. Člověk začne mít také problémy s dýcháním, což je u pokročilé skoliózy častý jev. Pacienti, kteří podstoupí operaci (což je velmi nepřirozená až drastická procedura, zahrnující kovové tyče, háky, dráty a šrouby, kromě jiného, které násilně nutí páteř do vzpřímené polohy), ztrácí až 60% flexibility páteře a po zbytek života trpí chronickou bolestí, což způsobí znehybněná páteř, kovy a nepřirozené předměty v páteři, které vedou následně k degeneraci meziobratlových plotének (disků) a osteoathritis.

Podle studie (publikované v medicínském časopise Spinal), která proběhla v roce 2008, bylo posuzováno 32 pacientů po operaci páteře (spinal fusion surgery) a u 75% z nich byla zjištěna degenerace sacroiliakálního spojení (Si skloubení) už velmi brzy po operaci.
Ve stejném roce proběhla další velmi rozsáhlá studie, podle které bylo zjištěno, že nárůst rozsáhlých komplikací po operacích je alarmující, až 89%.
I když jsou obratle chirurgickým zákrokem drženy na místě pomocí kovových prvků, navyklé (mimovolní) kontrakce svalů kolem páteře způsobují mikropohyby, které brání neustálému přirozenému růstu kostí (protože kost je živá tkáň, osteoblasty a osteoklasty nemohou dělat svoji práci). Nebo jsou kontrakce svalů kolem páteře tak silné, že může dojít ke zlomení kovových prutů, které drží páteř, což způsobí pacientovi nepředstavitelnou bolest a často nutnou potřebu další operace. Většina takových pacientů se proto stává trvale závislými na „lécích“ od bolesti (tady je vhodnější anglický výraz DRUGS) a později na antidepresivech, což jsou psychofarmaka, návykové látky s velmi devastačními vedlejšími účinky. A pokud je takovými pacientem dítě nebo dospívající jedinec, jaký život má před sebou?
Pro vysoké riziko komplikací po operacích a jen velmi málo důkazů pro efektivitu operace došli lékaři v roce 2008 k závěru, že operace by měly být nadále prováděny pouze v nezbytně nutných případech, pro zpomalení progrese tvorby bočního oblouku páteře, ale tento druh operace není ideální pro dlouhodobé řešení.
To je závěr studie, která trvala 5 let – celé znění je zde:
Degeneration of sacroiliac joint after instrumented lumbar or lumbosacral fusion: a prospective cohort study over five-year follow-up
https://pubmed.ncbi.nlm.nih.gov/18469692/
Pokusy o zlepšení funkčního zakřivení páteře násilně – pomocí manuální síly budou mít vždy malý nebo žádný vliv na signály vysílané nervovým systémem, které způsobují svalovou kontrakci.
Zlomená kost je strukturální problém a pro zhojení musí být vpravena na své místo. Pokud je však vaše páteř vychýlena ze správného postavení, protože ji stahují svaly, jedná se o funkční problém.
K vychýlení od normy dochází vlivem působení nervového systému, protože mozek a nervový systém ovládají naše svaly, včetně nejhlubších svalů kolem páteře.
Pokud se pacienti s idiopatickou skoliózou naučí, jak uvolnit chronické kontrakce svalů, které stahují páteř do nepřirozeného zakřivení, obvykle zažívají zmírnění nebo dokonce úplnou eliminaci bolesti, spolu s tím, že se páteř postupně navrací do své přirozené, správné polohy.
Studií je dnes už celá řada a jsou veřejně dostupné pro každého, kdo hledá. Operací dětí v dospívání nebo dokonce mladších ale přibývá a bohužel jen málo rodičů domyslí následky a hledá jiná řešení. A není taky náhodou k zamyšlení, PROČ je „najednou“ tolik skoliózy a tolik nemocí, které jsme dřív ani neznali ??
Somatics: Reawakening The Mind’s Control Of Movement, Flexibility, And Health (2004)
Skolióza a Clinical Somatics
Skoliotické zakřivení páteře je u každého člověka jiné a obvykle zahrnuje obojí – boční vychýlení a rotaci páteře. Už víme, že boční vychýlení páteře, která tvoří oblouk ve tvaru písmene C nebo S, způsobuje chronická kontrakce svalů. Z předchozích článků už taky víte, že činnost svalů řídí mozek (nervový systém).
Co dělají svalová vlákna při koncentrické kontrakci: 
Svalová vlákna se zkracují, takže se musí zkrátit i celý sval. Kosterní svaly jsou připojené ke kostem na každém konci svalu šlachami, takže když svaly kontrahují, zkracují se, kosti jsou přitahovány blíž k sobě.
U skoliózy se ale obvykle mluví o „oslabených“ svalech.
Jak to tedy je?
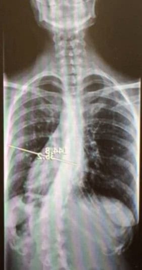
Jak už bylo řečeno, vybočení, nebo postranní zakřivení páteře je u každého člověka jiné. Snímek RTG ukazuje na celkem jasné zakřivení do tvaru písmene C. (Pravá strana obrázku je pravá strana těla). Na pravé straně je prohloubení (concave), na levé straně je vychýlení (convex).
Teď si zkuste takový tvar na své páteři vytvořit.
Můžete sedět nebo se postavit. Pomalinku naklánějte trup doprava, jako když vás pravá ruka táhne dolů a pak se velmi pomalinku vracejte zase zpět nahoru do přirozené polohy páteře.
Všimněte si, že svaly se musí zkrátit (kontrahují), abyste mohli provést toto boční naklonění, aby páteř vytvořila písmeno C. Zkuste to několikrát, abyste cítili kontrakci svalů na pravé straně těla. Ty svaly po stranách pasu, které si můžete nahmatat, jsou šikmé břišní svaly. Umožňují rotaci páteře a ohnutí páteře do stran.
Takže pokud se podíváme na ten RTG snímek, pak vidíme, že svaly na pravé straně jsou zkrácené, příliš napjaté. V napětí jsou ale nejen šikmé břišní svaly, vnitřní i vnější, ale taky quadratus lumborum (kvadratický bederní sval) a psoas, hlavní napřimovač a stabilizátor páteře.
Šikmé břišní svaly jsou velmi silné svaly středu těla (core), které táhnou žebra (hrudní koš) a pánev k sobě, jak je vidět na snímku RTG (pravá strana). Můžete vidět, že vzdálenost mezi posledním dolním žebrem a vrchní hranou pánevní kosti je kratší na pravé straně než na levé. Můžete taky vidět, že bok na pravé straně směřuje víc nahoru než na levé straně, protože kontrahované svaly táhnout kyčel nahoru k hrudnímu koši. To znamená, že bude taky nerovnováha mezi pravou a levou nohou.
U posuzování skoliózy obvykle slyšíme, že svaly na konkávní straně zakřivení (pravé straně na snímku) jsou slabé, ale ve skutečnosti jsou v chronické (nevědomé) kontrakci.

Pokud takový stav trvá delší čas (dlouhodobá nevědomá kontrakce – například pod vlivem stresu, zvýšené emoční zátěže nebo stálé jednostranné činnosti), pro nervový systém se stává „normou“ a mozek tento stav „jako normu“ taky „zafixuje“. Člověk pak ztrácí kontrolu tyto svaly vědomě kontrolovat a ovládat. Ty svaly doslova „zamrznou“ ve stavu trvalé kontrakce (jako když je něco pod trvalým elektrickým napětím).
Ty svaly ale nejsou slabé v pravém slova smyslu. Člověk „pouze“ ztrácí schopnost je vědomě stahovat a uvolňovat.
Takže skolióza je tak trochu matoucí hlavně proto, že lidi cítí největší bolest a svalové napětí na té druhé (delší) straně, kam je vybočená páteř (convex). Proč to tak je?
Pokud se znovu jemně nakloníte doprava, aby páteř vytvořila tvar písmene C (jako na snímku RTG), pak budete cítit, že svaly na levé straně se musí natáhnout, musí se prodloužit, aby se pravá strana mohla zkrátit. Pokud takhle zůstanete, váš nervový systém bude automaticky kontrahovat (stahovat) svaly na levé straně těla, protože se bude snažit vrátit páteř do vzpřímené, stabilní polohy, abyste nespadli do strany.
Podle snímku RTG, šikmé břišní svaly a hluboké svaly středu těla jsou víc stažené na pravé straně, což táhne spodní žebra ke kyčelní kosti a páteř „ustupuje“ tomu dlouhodobému tlaku tak, že vytvoří oblouk, vybočí se do strany. Svaly na levé straně těla ale musí pracovat víc a víc (jsou ve větším a větším napětí taky), aby stabilizovaly páteř a postavení těla. Ve výsledku jsou svaly po obou stranách vybočené páteře v chronickém napětí, ale člověk cítí největší bolest na té „prodloužené“ straně, protože ty svaly musí být stále napjaté, prodloužené a zároveň musí stále kontrahovat. To znamená, že ty svaly na levé straně (prodloužené) straně se nemohou vůbec uvolnit, protože jejich hlavním úkolem je stabilizace páteře, musí udržet páteř ve vzpřímené poloze, jinak bychom přepadávali do stran.
Protahování svalů u skoliózy je mimořádně bolestivé, protože po obou stranách těla jsou v chronickém napětí. Takže nejprve je potřeba postupně uvolňovat napětí svalů po obou stranách vybočené páteře, aby se páteř mohla začít vracet do své přirozené polohy.
V mnoha případech u skoliózy je víc efektivní, když se začne s uvolňováním napětí svalů na konkávní straně (v tomto případě je to pravá strana) páteře, protože právě tyto svaly jsou obvykle prvotní příčinou zvýšeného napětí a vytvoření zakřivení páteře. Méně úspěšní budete, pokud začnete na druhé straně (té prodloužené), protože pokud svaly na té zkrácené straně budou stále ve stejném napětí, ty svaly na druhé straně se nemohou uvolnit, pořád musí zvýšeně pracovat.
Obvyklá „cvičení na skoliózu“ nemají velký efekt, nebo mají jen velmi krátkou životnost, pokud se snažíte jen dalším zvýšeným úsilím „narovnat“ skoliotické zakřivení. Ve výsledku můžete dosáhnout opaku, což bude ještě větší napětí v chronicky napjatých (přetížených) svalech.
Je to proto, že zprávu svalům a pokyn k uvolnění musí odeslat mozek skrze nervový systém, protože základní nastavení „zvýšené napětí“ v určitých svalech je nastaveno nervovým systémem.
Je to naprosto logické a velmi jednoduché. A jak už ze života a praxe víme, právě tady je obvykle řešení.
Pandikulace je dosud nejefektivnější způsob, jak „přeškolit“ (retrain) nervový systém, aby uvolnil nedobrovolnou, nevědomou svalovou kontrakci, aby se páteř mohla vrátit do své původní, zdravé a přirozené polohy.
Více o pandikulaci a clinical somatics najdete v dalších článcích: https://v-laska.com/kouzlo-vedomeho-pohybu/pandikulace-vrozeny-reflex-k-uvolneni-svaloveho-napeti/
Poznámka: Excentrická a koncentrická kontrakce se také nazývají izotonický pohyb (nebo též dynamický), při kterém se mění délka svalů, ale příliš se nemění napětí (tonus). Opakem izotonického pohybu je izometrická kontrakce, při které se délka svalů nemění, ale mění se jejich napětí.